En medicina se denomina fractura de pelvis a un tipo de fractura que afecta a la pelvis ósea. La pelvis es una estructura compleja formada por la unión de varios huesos, la fractura puede afectar al hueso sacro, el ilion, el isquion, el acetábulo o el hueso pubis. La causa más frecuente en personas de edad avanzada es caída accidental, en personas jóvenes son secundarias a impactos de gran intensidad como accidentes de tráfico o caídas de altura.[1]
El diagnóstico se hace mediante un examen por rayos X o tomografía computarizada. Si una persona está completamente despierta y no tiene dolor en la pelvis, no se necesitan imágenes médicas. El tratamiento de emergencia generalmente sigue al soporte vital avanzado para traumas.[2]
Esto comienza con los esfuerzos para detener el sangrado y reemplazar los líquidos. El control del sangrado se puede lograr mediante el uso de un aglutinante pélvico o una sábana para sostener la pelvis. Otros esfuerzos pueden incluir embolización angiográfica o empaque preperitoneal. Después de la estabilización, la pelvis puede requerir reconstrucción quirúrgica. Las fracturas pélvicas representan alrededor del 3% de las fracturas de adultos. Las fracturas estables generalmente tienen un buen resultado. El riesgo de muerte con una fractura inestable es de aproximadamente el 15%, mientras que aquellos que también tienen presión arterial baja tienen un riesgo de muerte cercano al 50%.[3] Las fracturas inestables a menudo se asocian con lesiones en otras partes del cuerpo.[4]
Clasificación
Las fracturas de pelvis son de gravedad muy diversa y pueden afectar a diferentes porciones de esta estructura ósea. Existen varias clasificaciones, de forma genérica se dividen en tres grupos principales:
- Fracturas tipo A. Son fracturas estables y no existe luxación articular, por ello el tratamiento es conservador y no se necesita en general cirugía como tratamiento.
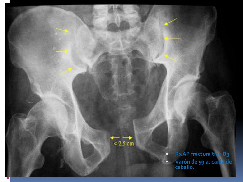
- Fracturas tipo B. Son lesiones inestables que se clasifican en varios subtipos según la localización. Precisan tratamiento quirúrgico.
- Fracturas tipo C. Son fracturas inestables que se asocian a luxación púbica y sacroiliaca. Existe indicación de cirugía.
Complicaciones
Algunas de las complicaciones de este tipo de fracturas son:
- Hemorragia intrapélvica o en el retroperitoneo que pueden causar choque hipovolémico.
- Lesiones en el aparato urinario, por ejemplo en la uretra o la vejiga urinaria.
- Secuelas como inestabilidad en la sínfisis del pubis y artrosis postraumática.[5]
Referencias




