Histoplasma capsulatum es un hongo dimórfico que en el estado saprofito crece en forma de micelios. Histoplasma capsulatum es el anamorfo de Ajellomyces capsulatus (familia Onygenaceae, orden Onygenales, división Ascomycota). Presenta tres variedades: H. c. var. capsulatum, ureasa ; H. c. var. farciminosum, de crecimiento muy lento y H. c. var duboisii, que es ureasa-.
Características
La fase saprofítica se encuentra en suelos con alto contenido en heces de ave o de murciélago. La forma infectante es una microconidio oval lisa o finamente equinulada, de 1-6 μm, que se forma sobre las hifas o sobre cortos pedúnculos. Se puede cultivar a 25-30 °C en agar SDA, dando colonias algodonosas, blanquecinas a morenas, que una vez maduras forman también macroconidios esféricas de 8-14 μm pigmentadas, de pared gruesa y aspecto de “mina submarina”.
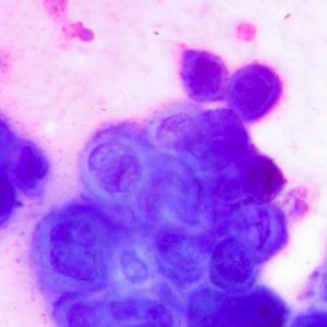
En Agar BHI-Cisteína-Sangre a 37 °C crece levaduriforme en colonias redondas, mucoides y color crema, con pequeñas blastosporas ovales a esféricas de 2-5 m, con gemación de base estrecha. La forma blastosporada aparece también en los tejidos infectados, a menudo en grandes números en el citoplasma de histiocitos y macrófagos.
El transporte aéreo de microconidios y de fragmentos miceliares del suelo contaminado da lugar a la deposición alveolar vía la inhalación. La susceptibilidad a la difusión dentro del huésped se aumenta con las defensas celulares deterioradas del anfitrión.
La conversión miceliar a la forma patógena de la levadura ocurre de forma intracelular. Las teorías propuestas sugieren que las levaduras pueden producir las proteínas que inhiben la actividad de proteasas lisosomales.
Mientras que la respuesta de la inmunidad del anfitrión se mantenga (gracias a medicamentos), el crecimiento de la levadura cesa en el plazo de 1-2 semanas después de la exposición debido a que se activa la acción fungistática de macrófagos contra las levaduras intracelulares. Con la maduración adicional de la respuesta transmitida por células, se retrasa o inhibe la hipersensibilidad hacia esa especie, esto ocurre de 3 a 6 semanas después de la exposición.
Referencias
Enlaces externos
- Wikimedia Commons alberga una galería multimedia sobre Histoplasma capsulatum.

![]()


